- 2025/08/11
- 産科について
当院ではお産を扱わなくなりましたので、妊娠の初期に気を付けたいことなどを書くことにします。
妊娠検査について
最近の市販の妊娠検査試薬は結構感度が良く、医療用の検査薬と比べても遜色ないものが多いようです(以前はあまり良いのがなかった)。医療用の妊娠検査試薬はだいたい尿中のhCGというホルモンの25単位/mlくらいで反応しますが、市販の検査試薬は50単位/mlで反応するようです。しかしどちらにしろそれ以下の場合は薄く反応が出ます。
たまに妊娠反応が薄く出て、そのまま生理になってしまう、化学的妊娠とか化学的流産と呼ばれるものがあります(ケミカルということもあります)。これは受精して着床までしたけれども、その後発育しなかった状態と考えられています。不妊治療中にもよくありますが妊娠にはカウントしません。次に期待しましょう。
それとよくあるのが生理の量がいつもより少なかったというときに妊娠していることがあるということです。ですから少な目の生理があったけどなんだか体調が悪いようなときはとりあえず妊娠を疑いましょう。妊娠の4週頃(要するに生理の予定日の頃)に少し出血することがあり、それを生理と間違えることがしばしばあります。産後に1回も生理がないのに妊娠している人もいるので、女性は常に妊娠の可能性を考えておく必要があります。
妊娠の週数の決め方
ふつうは妊娠が成立したときの最後の生理の始まった日をを0週0日として計算します、それから280日後が予定日になります。簡易に計算するには生理が始まった日に9ヶ月と7日(苦難の道と覚える)を足せばだいたいの予定日がわかります。たとえば最後の生理が4月25日から始まったとするとそれに9ヶ月と7日を足せば13月32日となります、13月は1月のことで32日は翌月の1日のことですからだいたい2月1日が予定日ということになります。2-3日のずれはあります。
生理がおおむね月に1回ある人の場合は最後の生理からの計算で特に問題ないのですが、生理不順の人が妊娠すると違ってきます。たとえば生理が40日型の人の場合排卵したのがだいたい生理が始まった日から18-20日目(生理が遅れる人は結局排卵が遅れているのです、排卵してから生理になるまでの期間はほとんどの人で14日間くらいで一致している)ですから、通常の14日目の排卵の人に比べて1週間近く遅れて受精し着床しています。従って妊娠週数も1週間ほど遅れることになります。よってエコーで胎児の大きさを調べて、現在だいたいこれくらいの週数というのを推定して妊娠週数の修正を行います。
ところで基礎体温をちゃんとつけられている方が妊娠された場合、特に不妊治療中の妊娠では高温相になった日から妊娠の週数を計算することができます(高温相になった日を月経周期15日目とします),しかしそれでもエコーによる週数判定と違ってくることがあります、それは排卵後着床するまでの期間が一定しないからです。結局エコーで見ないとちゃんとした週数は決められないということになります。
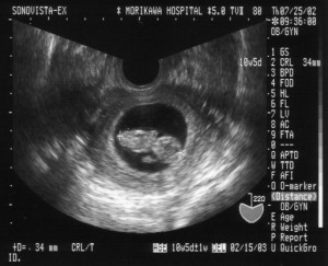
エコー検査で週数を決める場合
だいたいの目安として胎嚢(胎児の入っている袋)が経腟エコーで見えてくるのが妊娠5週くらい、卵黄嚢(york sacという)という丸い構造物が見えてくるのが6週くらい、胎児の心拍が見えてくるのが7週くらい、胎児が1cmになるのが8週くらい、その後は胎児の長さに7を足した程度が妊娠のだいたいの週数と言われています。最近は超音波の機械がしっかりしたグラフを元に計算してくれるのでもっとちゃんと週数がはじき出されますが、おおむねそれくらいと考えて差し支えありません。
しかしこのような計算ができるのは妊娠の12週くらいまででそれ以降は胎児の個人差により発育の速度が変わってきますので、大きさから週数を割り出すのはできにくくなります。特にお産後授乳している人がまだ生理もしっかりないのに妊娠したりすると妊娠週数はエコーを見なければ全くわかりません、それも妊娠の早くに来てもらえればいいのですが、かなり進んでからこられるともはや妊娠週数不明のまま見ていくしかありません。
週数と月数
医者は西洋医学しか勉強していませんので、たとえば日本風の妊娠の時期の表現である何ヶ月という数え方はなかなか頭に入ってきません。一度週数に換算して考えないとわからないのです。妊娠0週0日は日本流に言えば妊娠第1ヶ月のはじめという事になり4週0日は2ヶ月のはじめ、8週0日は3ヶ月のはじめです。とにかくこの何ヶ月という数え方は混乱しやすいので僕は嫌いですね。ただし生理の何日目かという数え方は生理が始まった日を1日目とします(妊娠した場合の週数は0週0日と数える)。不妊治療中に妊娠すると妊娠の時期を月経周期何日目という表現をするのでこれもまた混乱します。月経周期35日目は妊娠5週0日ではなく4週6日となります・・・と。あー、またよくわからなくなった!

